USenhance2023——2023 年超声图像增强挑战赛
今天我将介绍如何将低质量超声图像转换为高质量超声图像的完整实现方案。为了帮助大家更好地理解整个过程,我已经整理了详细的步骤和结果展示。感兴趣的朋友可以尝试一下。

一、USenhance2023简介
超声成像在辅助疾病诊断和治疗中广泛应用,因其无创性而备受青睐。近年来,医学超声从医院大型昂贵设备向经济型手持设备的普及展现了广阔前景。然而,手持设备因硬件限制,往往生成的图像质量较低。超声图像增强技术提供了一种潜在的低成本解决方案,通过计算机算法从低质量图像恢复高质量图像,避免了硬件改进的需要,推动了超声设备的革命和广泛应用。
二、USenhance2023的任务
从低质量超声图像重建高质量超声图像。
三、USenhance2023数据集
该数据集包含了五个器官的超声图像,包括甲状腺、颈动脉、肝脏、乳房和肾脏,来自109名患者的3000张图像(1500对低质量和高质量图像)。
评估指标包括:峰值信噪比(PSNR)、结构相似性(SSIM)、局部归一化互相关(LNCC)、在增强图像上使用预训练分割模型进行病变分割的Dice系数(Dice),以及处理一张图像的平均时间(运行时间)。
四、技术路线
1、通过分析超声图像,发现低质量和高质量图像之间不存在空间位置的一一对应关系。因此,我们使用GAN网络的生成器将低质量图像转化为高质量图像,再通过判别器区分真实的高质量图像和生成的高质量图像。
2、由于超声图像为灰度图像,我们对低质量和高质量图像进行0-1范围的归一化处理。然后将数据分为训练集和验证集。
3、构建WGAN网络,生成器采用Vnet2d,判别器采用VGG8。生成器和判别器均使用Adam优化器,学习率为0.0001,batchsize为32,epoch为600。损失函数采用对抗损失,即生成器希望判别网络对生成的图像判定为真,而判别器则希望能够区分真实图像和生成图像,真实图像判定为真,生成图像判定为假。
4、训练和验证结果



5、验证集部分生成结果
左图为低质量图像,中间为生成的高质量图像,右图为真实的高质量图像。







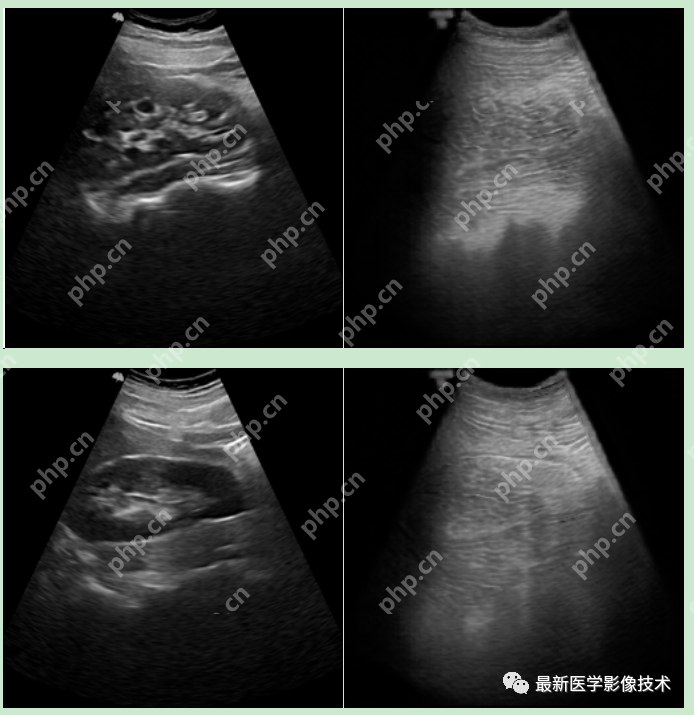
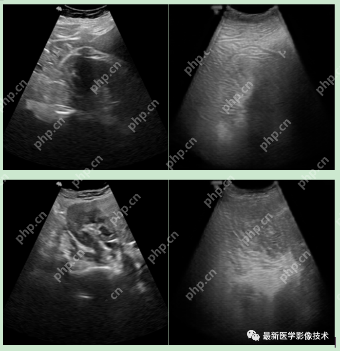
6、测试集部分生成结果
左图为低质量图像,右图为生成的高质量图像。












如果大家觉得这个项目不错,希望大家能给个Star并Fork,这样可以让更多人了解和学习。如果有任何疑问,随时给我留言,我会及时回复。
<< 上一篇
网友留言(0 条)